آخرین بهروزرسانی در مارس 1, 2026 توسط گروه پزشکی ویستان
این مقاله توسط گروه پزشکی ویستان بررسی و از نظر علمی تأیید شده است.
فرق سی تی اسکن و ام آر آی همیشه یکی از پرسشهای رایج بیماران و حتی پزشکان بوده است. تصور کنید نیاز دارید وضعیت داخلی بدن خود یا عزیزانتان را بررسی کنید، اما نمیدانید کدام روش مناسبتر است: سی تی اسکن یا ام آر آی؟ آیا هر دو یک کاربرد دارند یا هر کدام کاربرد خاص خود را دارند؟ انتخاب بین این دو روش تصویربرداری پیشرفته، بسته به نوع بررسی، سرعت تشخیص و دقت مورد نیاز متفاوت است.
در این مقاله، به بررسی تفاوت سی تی اسکن و ام آر آی در کاربردهای پزشکی، مزایا و محدودیتها، زمان انجام، هزینه و نکات ایمنی میپردازیم. همچنین پاسخ میدهیم به سوال مهم بسیاری از افراد: سی تی اسکن بهتر است یا ام آر آی؟، تا بتوانید با اطلاعات دقیق و جامع، بهترین تصمیم را برای تشخیص سریع یا بررسی دقیق بافتهای نرم و ارگانهای داخلی بدن اتخاذ کنید. علاوه بر این، مزایا و معایب سی تی اسکن و ام آر آی را با جزئیات مرور کرده و با جدولها و توضیحات کاربردی، مقایسهای کامل ارائه خواهیم داد.
اگر نیاز به مشاوره تخصصی در مورد فرق سی تی اسکن و ام آر آی دارید، کلینیک ویستان با تجهیزات پیشرفته و تیم متخصص، شما را در انتخاب بهترین روش تصویربرداری راهنمایی میکند. برای دریافت مشاوره و رزرو نوبت، همین حالا با شمارههای 02191090158 تماس بگیرید.
فهرست مطالب
- 1 فرق سی تی اسکن و ام آر آی چیست؟
- 2 کلینیک ویستان بهترین مرکز سی تی اسکن و ام آر آی در تهران
- 3 سی تی اسکن چیست و چگونه کار میکند؟
- 4 ام آر آی چیست و چه کاربردی دارد؟
- 5 فرق سی تی اسکن و ام آر آی در هزینه
- 6 تفاوت سی تی اسکن و ام آر آی در کاربردهای پزشکی
- 7 مزایا و معایب سی تی اسکن
- 8 مزایا و معایب ام آر آی
- 9 نکات ایمنی و مراقبتی قبل از تصویربرداری
- 10 فرق سی تی اسکن و ام آر آی
- 11 سی تی اسکن بهتر است یا ام آر آی؟
- 12 نکات طلایی قبل از تصویربرداری (سی تی اسکن و ام آر آی)
- 13 جمعبندی فرق سی تی اسکن و ام آر آی
- 14 سوالات متداول
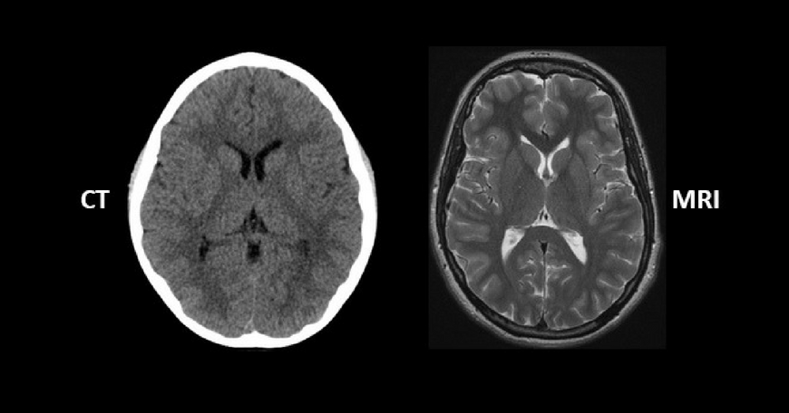
فرق سی تی اسکن و ام آر آی چیست؟
انتخاب بین سی تی اسکن و ام آر آی اغلب بیماران را سردرگم میکند. سی تی اسکن سریع و مناسب استخوان و خونریزی است، در حالی که ام آر آی برای بررسی دقیق بافتهای نرم و ارگانهای داخلی بهترین گزینه است. جدول زیر تفاوت سی تی اسکن و ام آر آی را نشان میدهد.
| ویژگی | سی تی اسکن (CT Scan) | ام آر آی (MRI) |
| روش تصویربرداری | استفاده از اشعه ایکس و رادیوگرافی کامپیوتری | استفاده از میدان مغناطیسی قوی و امواج رادیویی |
| دقت در بافت نرم | متوسط، مناسب استخوان و بافتهای سخت | بسیار بالا، مناسب عضلات، مغز، نخاع و ارگانهای داخلی |
| زمان انجام | کوتاه (چند دقیقه) | طولانیتر (15 تا 60 دقیقه بسته به ناحیه) |
| هزینه | نسبتاً پایین | بالاتر نسبت به سی تی اسکن |
| ایمنی و محدودیتها | اشعه ایکس دارد؛ تکرار مکرر محدود | مناسب اکثر افراد؛ محدودیت برای ایمپلنت فلزی یا دستگاه ضربانساز قلب |
| کاربردهای رایج | شکستگیها، خونریزیهای داخلی، بررسی ریه و استخوان | بررسی مغز، نخاع، مفاصل، عضلات، تومورها و ارگانهای داخلی |
| احساس بیمار | معمولاً راحت، بدون اضطراب | ممکن است برخی بیماران دچار اضطراب یا ناراحتی شوند |
| نیاز به تزریق ماده حاجب | گاهی برای بررسی بهتر عروق یا اندامها | گاهی برای تشخیص دقیقتر بافتها |
| مزیت اصلی | سرعت بالا و دقت در استخوان و خونریزی | دقت بالا در بافت نرم و جزئیات ساختاری بدن |
با توجه به فرق سی تی اسکن و ام آر آی، انتخاب روش مناسب بستگی به هدف تشخیصی دارد: سی تی اسکن سریع و مناسب شرایط اورژانسی است، ام آر آی دقت بالایی در بافت نرم و جزئیات داخلی بدن ارائه میدهد.
کلینیک ویستان بهترین مرکز سی تی اسکن و ام آر آی در تهران
اگر به دنبال یک مرکز معتبر و پیشرفته برای انجام سی تی اسکن یا ام آر آی هستید، کلینیک ویستان انتخابی ایدهآل است. این کلینیک با تجهیزات مدرن، کادر متخصص و محیطی آرام، خدمات تصویربرداری با کیفیت بالا را ارائه میدهد. چرا کلینیک ویستان را انتخاب کنیم؟
- تجهیزات پیشرفته و بهروز: استفاده از دستگاههای مدرن برای ارائه تصاویر دقیق و قابل اعتماد.
- پوشش بیمهای کامل: امکان انجام خدمات با بیمه تأمین اجتماعی و کاهش هزینههای بیمار.
- تیم پزشکی و پرستاری حرفهای: کادر متخصص با تجربه بالا در ارائه خدمات تصویربرداری.
- محیط آرام و حرفهای: فضایی مناسب برای راحتی و آرامش بیماران حین انجام اسکن.
برای دریافت بهترین خدمات تصویربرداری در تهران، همین حالا با کلینیک ویستان تماس بگیرید و نوبت خود را رزرو کنید.
| نام مرکز | آدرس | تلفن |
| مرکز مرزداران | اشرفی اصفهانی – بلوار مرزداران، پلاک 184، ساختمان ایمان، طبقه همکف | 02191090158 |
| مرکز سعادت آباد | سعادت آباد، خیابان سرو | 02191092878 |
| مرکز صادقیه | اتوبان اشرفی اصفهانی – فلکه دوم صادقیه | 02191092872 |
| مرکز ستارخان | ستارخان، نبش تهران ویلا و حبیب الله | 02191092872 |
| مرکز جردن | جردن، خیابان تندیس | 02191092338 |
سی تی اسکن چیست و چگونه کار میکند؟
سی تی اسکن یا CT Scan یکی از روشهای پیشرفته تصویربرداری پزشکی است که با استفاده از اشعه ایکس و پردازش کامپیوتری تصاویر مقطعی و دقیق از بدن تولید میکند. این تصاویر به پزشکان کمک میکنند تا ساختارهای داخلی بدن مانند استخوانها، ریهها، عروق و اعضای داخلی را از زوایای مختلف بررسی کنند. یکی از مهمترین مزایای سی تی اسکن، سرعت بالای آن است؛ به همین دلیل در شرایط اورژانسی مانند تصادفات یا خونریزیهای داخلی، معمولاً اولویت انتخاب پزشکان است. کاربردها و مزایای سی تی اسکن:
- تشخیص شکستگیها و آسیبهای استخوانی
- بررسی وضعیت ریهها و قفسه سینه
- شناسایی خونریزیهای داخلی و آسیبهای اورژانسی
- ارائه تصاویر با کیفیت بالا برای ساختارهای سخت بدن
Hاین روش در بهترین مراکز سی تی اسکن تهران با اشعه ایکس انجام میشود و تکرار مکرر آن محدود است. این روش در بررسی بافتهای نرم مانند عضلات و برخی ارگانها دقت کمتری دارد. درک فرق سی تی اسکن و ام آر آی به پزشکان و بیماران کمک میکند تا بدانند چه زمانی استفاده از این روش سریع و کاربردی است.
ام آر آی چیست و چه کاربردی دارد؟
ام آر آی یا MRI یک روش تصویربرداری پیشرفته است که با استفاده از میدان مغناطیسی قوی و امواج رادیویی تصاویر سهبعدی و با جزئیات بالا از بدن ایجاد میکند. برخلاف سی تی اسکن، ام آر آی اشعه ایکس ندارد و برای اکثر بیماران کاملاً ایمن است. این ویژگی باعث شده تا ام آر آی برای بررسی طولانیمدت یا تکراری بیماران بسیار مناسب باشد، به ویژه زمانی که نیاز به مشاهده دقیق بافتهای نرم وجود دارد. کاربردها و مزایای ام آر آی:
- بررسی آسیبهای مغزی و نخاعی
- تشخیص تومورها و ضایعات مغزی و نخاعی
- ارزیابی وضعیت عضلات، رباطها و مفاصل
- تشخیص التهابات و بیماریهای بافت نرم
- ارائه جزئیات دقیق و شفاف از ساختارهای داخلی بدن
ام آر آی زمان طولانیتری نسبت به سی تی اسکن دارد و هزینه بالاتری دارد. افرادی که ایمپلنت فلزی یا دستگاه ضربانساز قلب دارند، ممکن است نتوانند از آن استفاده کنند. آشنایی با فرق سی تی اسکن و ام آر آی کمک میکند بیماران بدانند چه زمانی نیاز به تصویربرداری با جزئیات بالای بافت نرم دارند و چه زمانی روش سریعتر و سادهتر مناسب است.
نکات مهم برای انتخاب روش مناسب
انتخاب بین سی تی اسکن و ام آر آی بستگی به نوع مشکل پزشکی، ناحیه مورد بررسی و شرایط بیمار دارد. برای مثال، در شرایط اورژانسی مانند تصادفات یا خونریزیهای داخلی، سی تی اسکن به دلیل سرعت بالا و دقت در بررسی ساختارهای سخت، انتخاب مناسبی است. در مقابل، برای بررسی دقیق بافتهای نرم مانند مغز، نخاع یا عضلات، ام آر آی به دلیل دقت بالا و عدم استفاده از اشعه ایکس، مناسبتر است. شناخت فرق سی تی اسکن و ام آر آی به بیماران و پزشکان کمک میکند تا تصمیمی آگاهانه برای تشخیص سریع یا دقیقترین بررسی اتخاذ کنند.
فرق سی تی اسکن و ام آر آی در هزینه
هزینه اسی تی اسکن و هزینه ام آر آی بسته به ناحیه اسکن، نوع ماده حاجب، مرکز تصویربرداری و بیمه بیمار متفاوت است. معمولاً سی تی اسکن به دلیل سرعت بالا و فناوری نسبتاً سادهتر، هزینه پایینتری دارد، در حالی که ام آر آی با توجه به دقت بالا و تجهیزات پیشرفتهتر، معمولاً هزینه بیشتری دارد.
برای دریافت اطلاعات دقیقتر درباره هزینهها، نحوه پوشش بیمهای و رزرو نوبت، بهترین کار تماس مستقیم با کلینیک ویستان و شماره 02182802192 و 02182802239 است. کارشناسان مرکز با ارائه مشاوره تخصصی، شما را در انتخاب مناسبترین روش تصویربرداری و برنامهریزی مالی راهنمایی میکنند.

تفاوت سی تی اسکن و ام آر آی در کاربردهای پزشکی
هر روش تصویربرداری مزایا و کاربردهای خاص خود را دارد و شناخت فرق سی تی اسکن و ام آر آی به پزشکان و بیماران کمک میکند تا تصمیم بهتری برای تشخیص و درمان بگیرند. سی تی اسکن و ام آر آی هر کدام در حوزه خاصی عملکرد بهینه دارند و بسته به نیاز بیمار انتخاب میشوند.
کاربردهای سی تی اسکن
سی تی اسکن به دلیل سرعت بالا و دقت در بررسی ساختارهای سخت بدن، در شرایط اورژانسی و تشخیص آسیبهای استخوانی بسیار مفید است. مهمترین کاربردهای آن شامل موارد زیر است:
- بررسی شکستگیها و آسیبهای استخوانی و مفصلی
- تشخیص خونریزیهای داخلی و آسیبهای اورژانسی
- بررسی ریه و قفسه سینه و شناسایی التهاب و عفونت
- ارزیابی پیشرفت سرطان و برنامهریزی جراحی
- تصویربرداری از سنگهای کلیه و کیسه صفرا
- سی تی اسکن شکم و لگن با تزریق
سی تی اسکن به خصوص در شرایطی که سرعت تشخیص اهمیت دارد، مانند تصادفات، خونریزی داخلی یا آسیب شدید استخوانی، ابزار قابل اعتمادی محسوب میشود.
کاربردهای ام آر آی
ام آر آی دقت بسیار بالایی در بافت نرم بدن دارد و برای مشاهده جزئیات دقیق ارگانها و بافتهای نرم مناسب است. کاربردهای آن شامل موارد زیر است:
- بررسی عضلات، رباطها و مفاصل
- تشخیص آسیبهای مغزی و نخاعی
- ارزیابی تومورها، کیستها و ضایعات مغزی و نخاعی
- تشخیص التهاب، آسیب عصبی و مشکلات قلبی پیچیده
- بررسی بیماریهای داخلی شکم و لگن مانند کبد، رحم و اندومتریوز
با توجه به این کاربردها، درک فرق سی تی اسکن و ام آر آی به پزشکان کمک میکند تا بر اساس ناحیه آسیبدیده یا بیماری، بهترین روش تصویربرداری را انتخاب کنند.

مزایا و معایب سی تی اسکن
سی تی اسکن برای بررسی سریع و دقیق استخوانها و ساختارهای سخت بدن مناسب است، اما محدودیتهایی هم دارد.
مزایا سی تی اسکن:مزایا سی تی اسکن:
- سرعت بالا و مناسب شرایط اورژانسی
- دقت بالا در بررسی ساختارهای سخت بدن
- هزینه کمتر نسبت به ام آر آی
- در دسترس بودن در اکثر بیمارستانها و مراکز درمانی
معایب سی تی اسکن:
- استفاده از اشعه ایکس و محدودیت در تکرار مکرر
- دقت کمتر در بافتهای نرم
- محدودیت برای زنان باردار در سه ماهه اول
شناخت مزایا و معایب سی تی اسکن بخش مهمی از مقایسه فرق سی تی اسکن و ام آر آی است و به بیماران و پزشکان کمک میکند تصمیم منطقی بگیرند.
مزایا و معایب ام آر آی
ام آر آی برای بررسی دقیق بافت نرم و جزئیات ساختاری بدن بهترین گزینه است، اما نیازمند زمان بیشتر و هزینه بالاتر است.
مزایا ام آر آی:
- دقت بسیار بالا در بافت نرم و جزئیات داخلی بدن
- عدم استفاده از اشعه و ایمنی برای اکثر بیماران
- امکان تصویربرداری مکرر بدون خطر تابشی
معایب ام آر آی:
- زمان طولانی انجام فرآیند
- هزینه بالاتر
- محدودیت برای افراد دارای ایمپلنت فلزی، ضربانساز قلب یا گیره آنوریسم
- ممکن است برخی بیماران دچار اضطراب یا کلاستروفوبیا شوند
درک این مزایا و محدودیتها، بخش دیگری از فرق سی تی اسکن و ام آر آی را روشن میکند و مشخص میسازد که هر روش در چه شرایطی اولویت دارد.
نکات ایمنی و مراقبتی قبل از تصویربرداری
رعایت نکات ایمنی قبل از آشنایی با فرق سی تی اسکن و ام آر آی برای افزایش دقت تصاویر و حفظ سلامت بیمار ضروری است. قبل از سی تی اسکن، در صورتی که نیاز به ماده حاجب وجود داشته باشد، چند ساعت ناشتا بودن الزامی است. همچنین حساسیتها و بیماریهای کلیوی باید به پزشک اطلاع داده شود. لباس راحت و بدون فلز بپوشید و زیورآلات را از بدن خارج کنید.
قبل از ام آر آی، تمامی فلزات، زیورآلات و دستگاههای الکترونیکی باید برداشته شوند. افراد دارای ایمپلنت فلزی یا ضربانساز قلب باید با پزشک مشورت کنند. بیمارانی که از محیط بسته میترسند یا دچار اضطراب هستند، ممکن است نیاز به آرامبخش سبک داشته باشند تا فرآیند تصویربرداری با آرامش کامل انجام شود. این نکات ایمنی، جزو اصول مهم فرق سی تی اسکن و ام آر آی هستند و رعایت آنها کیفیت و ایمنی تصاویر را تضمین میکند.
فرق سی تی اسکن و ام آر آی
با توجه به فرق سی تی اسکن و ام آر آی و شرایط بیمار، انتخاب روش تصویربرداری مناسب متفاوت است. در این بخش، راهنمایی عملی برای تصمیمگیری ارائه میدهیم تا بیماران و پزشکان بهترین انتخاب را داشته باشند.
| گروه بیمار | روش مناسب | نکات کلیدی |
| فرق سی تی اسکن و ام آر آی در بارداری | ام آر آی (MRI) | سی تی اسکن فقط در شرایط اورژانسی؛ استفاده از ماده حاجب معمولاً توصیه نمیشود |
| کودکان و سالمندان | سی تی اسکن (CT Scan) | سریع و کوتاه؛ نیاز به بیحرکتی طولانی ندارد؛ ام آر آی ممکن است نیاز به آرامبخش داشته باشد |
| بیماران با ایمپلنت فلزی یا ضربانساز قلب | سی تی اسکن | ام آر آی ممکن است محدودیت داشته باشد؛ قبل از اسکن مشورت با پزشک ضروری است |
| بیماران با مشکلات کلیوی | سی تی اسکن | ماده حاجب باید با احتیاط استفاده شود؛ ام آر آی با ماده حاجب ممکن است محدودیت داشته باشد |
| شرایط اورژانسی (خونریزی داخلی، تصادف) | سی تی اسکن | سرعت بالا و دقت در بررسی استخوان و خونریزی؛ بهترین گزینه برای تشخیص سریع |
| بررسی دقیق بافت نرم و ارگانها | ام آر آی | مناسب برای مغز، نخاع، مفاصل، تومورها و بافت نرم؛ بدون استفاده از اشعه ایکس |
مطالعه و رعایت این نکات، بخش دیگری از فرق سی تی اسکن و ام آر آی را روشن میکند و باعث تصمیمگیری سریع، ایمن و دقیق میشود.

سی تی اسکن بهتر است یا ام آر آی؟
در انتخاب بین سی تی اسکن (CT Scan) و ام آر آی (MRI)، پاسخ دقیق به فرق سی تی اسکن و ام آر آی و شرایط بیمار بستگی دارد. سی تی اسکن با استفاده از اشعه ایکس و پردازش کامپیوتری، تصاویر سریعی از ساختارهای سخت بدن مانند استخوانها، ریه و عروق داخلی ارائه میدهد و بهویژه در شرایط اورژانسی مانند تصادفات یا خونریزیهای داخلی بسیار کاربردی است. سرعت بالای انجام این روش و دقت مناسب در بررسی استخوان، آن را برای تشخیص سریع آسیبها ایدهآل میکند، اما دقت آن در مشاهده بافتهای نرم محدود است و تکرار مکرر آن به دلیل تابش اشعه محدودیت دارد.
در مقابل، ام آر آی بدون استفاده از اشعه و با میدان مغناطیسی قوی و امواج رادیویی، تصاویر دقیق و با جزئیات بالای بافتهای نرم بدن مانند مغز، نخاع، مفاصل و ارگانهای داخلی ارائه میدهد. این روش برای تشخیص تومورها، آسیبهای عصبی، التهابات و بیماریهای داخلی مناسبتر است، اما هزینه بالاتر و زمان طولانیتر انجام آن از محدودیتهای آن محسوب میشود. همچنین افرادی که ایمپلنت فلزی یا دستگاه ضربانساز قلب دارند باید قبل از ام آر آی مشورت پزشکی داشته باشند.
بنابراین، پاسخ به سوال “سی تی اسکن بهتر است یا ام آر آی؟” به نوع بررسی مورد نیاز، شرایط بیمار و سرعت تشخیص بستگی دارد: برای ارگانهای نرم و جزئیات دقیق، ام آر آی بهترین گزینه است و برای شرایط اورژانسی یا بررسی استخوان و خونریزی، سی تی اسکن اولویت دارد.
نکات طلایی قبل از تصویربرداری (سی تی اسکن و ام آر آی)
قبل از انجام هر نوع تصویربرداری، رعایت چند نکته ساده ولی حیاتی میتواند هم کیفیت تصاویر را بالا ببرد و هم تجربه شما را راحتتر کند:
- همکاری در طول فرآیند اسکن: بیحرکتی کامل در طول اسکن، کیفیت تصاویر را به شدت افزایش میدهد. دستورات تکنسین را دقیق دنبال کنید.
- آمادهسازی غذایی و نوشیدنی: در سی تی اسکن با ماده حاجب، معمولاً چند ساعت ناشتا بودن توصیه میشود. در ام آر آی، معمولاً خوردن و آشامیدن مشکلی ندارد مگر اینکه پزشک توصیه دیگری کرده باشد.
- لباس و وسایل شخصی: لباس راحت و بدون فلز بپوشید. زیورآلات، ساعت، کارتهای مغناطیسی، موبایل و دستگاههای الکترونیکی را قبل از اسکن خارج کنید.
- اطلاعرسانی به پزشک: اگر ایمپلنت فلزی، گیره آنوریسم، دستگاه ضربانساز قلب یا پروتز دارید، حتماً قبل از ام آر آی اطلاع دهید. حساسیت به مواد حاجب یا مشکلات کلیوی را قبل از سی تی اسکن گزارش دهید.
- کاهش اضطراب و راحتی: برخی بیماران در ام آر آی به دلیل محیط بسته و صدای دستگاه دچار اضطراب میشوند؛ در صورت نیاز میتوانید از آرامبخش سبک استفاده کنید. تنفس عمیق و آرام قبل از شروع تصویربرداری کمککننده است.
جمعبندی فرق سی تی اسکن و ام آر آی
در نهایت، فرق سی تی اسکن و ام آر آی به اهداف تشخیصی، شرایط بیمار و نوع بافتی که نیاز به بررسی دارد بستگی دارد. اگر هدف بررسی سریع استخوان یا شرایط اورژانسی است، سی تی اسکن گزینه بهتری است. اما برای مشاهده دقیق بافت نرم، ارگانهای داخلی یا آسیبهای مغزی و نخاعی، ام آر آی با دقت بالاتر و بدون اشعه ایکس بهترین انتخاب است.
با شناخت دقیق تفاوت سی تی اسکن و ام آر آی، کاربردها، مزایا و محدودیتها، بیماران و پزشکان میتوانند انتخابی ایمن، سریع و مناسب داشته باشند. رعایت نکات ایمنی و مشاوره با پزشک قبل از هر روش تصویربرداری نیز برای حفظ سلامت و کیفیت تصاویر ضروری است.
برای رزرو نوبت سی تی اسکن یا ام آر آی و دریافت مشاوره تخصصی، همین حالا با شمارههای 02182802192 و 02182802239 تماس بگیرید و سلامت خود را با اطمینان تضمین کنید.
سوالات متداول
سی تی اسکن بهتر است یا ام آر آی؟
سی تی اسکن معمولاً چند دقیقه طول میکشد، اما ام آر آی بسته به ناحیه تصویربرداری 15 تا 60 دقیقه زمان میبرد.
آیا سی تی اسکن برای زنان باردار مناسب است؟
سی تی اسکن فقط در شرایط اضطراری توصیه میشود، زیرا اشعه ایکس میتواند خطرناک باشد. ام آر آی معمولاً ایمنتر است.
ام آر آی برای چه نواحی مناسبتر است؟
ام آر آی برای بافتهای نرم، مغز، نخاع، مفاصل و ارگانهای داخلی بدن مناسب است و دقت بسیار بالایی دارد.
آیا تکرار سی تی اسکن خطرناک است؟
به دلیل استفاده از اشعه ایکس، تکرار مکرر سی تی اسکن محدودیت دارد و باید با نظر پزشک انجام شود.






