آخرین بهروزرسانی در مارس 2, 2026 توسط گروه پزشکی ویستان
این مقاله توسط گروه پزشکی ویستان بررسی و از نظر علمی تأیید شده است.
بارداری از زیباترین تجربههای زندگی هر خانواده است؛ اما در کنار این شادی، نگرانیهایی هم وجود دارد. یکی از مهمترین دغدغهها، سلامت قلب جنین است. ناهنجاریهای قلبی مادرزادی از شایعترین مشکلات دوران بارداری محسوب میشوند و تشخیص زودهنگام آنها میتواند مسیر درمان و آیندهی کودک را تغییر دهد.
به همین دلیل، بسیاری از والدین به دنبال بهترین مراکز اکو قلب جنین هستند تا این بررسی حساس و حیاتی را در یک محیط تخصصی و مطمئن انجام دهند. اکو قلب جنین (Fetal Echocardiography) یک سونوگرافی پیشرفته است که ساختار و عملکرد قلب جنین را بهطور دقیق بررسی میکند و نقش مهمی در شناسایی مشکلات احتمالی ایفا دارد.
در این مقاله قصد داریم به شما کمک کنیم معیارهای انتخاب یک مرکز معتبر را بشناسید، با برخی از بهترین مراکز اکو قلب جنین در ایران آشنا شوید، و در نهایت دریابید چرا کلینیک چندتخصصی ویستان میتواند یکی از انتخابهای برتر در این زمینه باشد.
فهرست مطالب
اکو قلب جنین چیست و چه اهدافی دارد؟
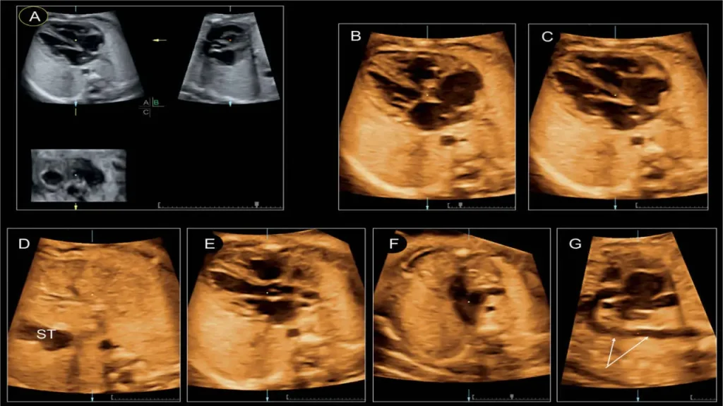
اکو قلب جنین یا Fetal Echocardiography نوعی سونوگرافی تخصصی است که به پزشکان امکان میدهد ساختار و عملکرد قلب جنین را در دوران بارداری با دقت بالا بررسی کنند. در این روش، دستگاههای پیشرفته با استفاده از امواج فراصوت تصویری دقیق از قلب، بطنها، دهلیزها، دریچهها، عروق اصلی و حتی ریتم قلب جنین ایجاد میکنند. به همین دلیل، اکو قلب جنین یکی از ابزارهای حیاتی برای تشخیص زودهنگام مشکلات قلبی محسوب میشود.
هدف اصلی از انجام این بررسی، تشخیص ناهنجاریهای مادرزادی قلب قبل از تولد است. بسیاری از مشکلات قلبی اگر در همان دوران جنینی شناسایی شوند، میتوانند با برنامهریزی مناسب بعد از تولد یا حتی در برخی موارد در دوران بارداری مدیریت شوند. برای مثال، اگر نقص ساختاری قلب یا اختلال در جریان خون مشاهده شود، پزشکان میتوانند اقدامات لازم مانند مشاوره ژنتیک، ارجاع به فوقتخصص قلب کودکان یا برنامهریزی برای تولد در مرکز مجهز را در نظر بگیرند.
علاوه بر تشخیص نقایص ساختاری، اکو قلب جنین قادر است ریتم قلب را نیز بررسی کند و آریتمیهای جنینی را شناسایی کند؛ مشکلاتی که اگر بهموقع تشخیص داده شوند، امکان درمان یا کنترل آنها تا زمان تولد بسیار بیشتر خواهد بود.
به همین دلیل والدینی که با عوامل پرخطر در بارداری مواجه هستند یا در سونوگرافیهای معمول نتایج مشکوکی دریافت کردهاند، معمولاً توسط پزشک به بهترین مراکز اکو قلب جنین ارجاع داده میشوند. انتخاب مرکز مناسب نه تنها دقت تشخیص را افزایش میدهد بلکه آرامش خاطر بیشتری به خانواده میدهد. مراکزی که از تجهیزات بهروز و پزشکان فوقتخصص بهرهمندند، قادر خواهند بود تصویری کامل و دقیق از وضعیت قلب جنین ارائه دهند و مسیر مراقبتهای بعدی را روشنتر کنند.

چه زمانی و در چه هفتهای اکو قلب جنین انجام دهیم؟
انتخاب زمان مناسب برای انجام اکو قلب جنین یکی از مهمترین عوامل در دقت و کیفیت نتایج است. متخصصان زنان و قلب کودکان توصیه میکنند که بهترین زمان برای انجام این بررسی بین ۱۸ تا ۲۲ هفته بارداری است. در این بازه، قلب جنین به اندازهای رشد کرده که بتوان ساختارهای اصلی آن مانند بطنها، دهلیزها، دریچهها و عروق اصلی را به وضوح مشاهده کرد. همزمانی این مرحله با سونوگرافی آنومالی هم باعث میشود پزشک یک ارزیابی جامع از سلامت جنین داشته باشد.
البته در برخی شرایط پرخطر یا زمانی که در سونوگرافیهای اولیه یافتههای مشکوکی دیده شود، پزشک ممکن است توصیه کند اکو زودتر، مثلاً در ۱۲ تا ۱۴ هفته انجام شود. در این زمان اگرچه اندازه قلب کوچکتر است و ارزیابی کامل سختتر، اما با استفاده از دستگاههای پیشرفته و مهارت پزشک میتوان سرنخهایی از مشکلات احتمالی به دست آورد.
گاهی هم نیاز است اکو در طول بارداری تکرار شود. مثلاً اگر مادر به بیماریهای زمینهای مانند دیابت یا لوپوس مبتلا باشد، یا اگر نتایج اولیه نشاندهندهی اختلالات احتمالی باشد، ممکن است پزشک انجام اکو در هفتههای ۲۸ تا ۳۲ را نیز توصیه کند تا روند رشد و عملکرد قلب بررسی شود.
بهطور خلاصه، مراجعه به بهترین مراکز اکو قلب جنین باعث میشود که در هر بازهی زمانی، بیشترین دقت در تشخیص به دست بیاید؛ چرا که در این مراکز از دستگاههای پیشرفته و متخصصان با تجربه استفاده میشود.
جدول زمانهای توصیهشده برای اکو قلب جنین
| بازه بارداری | دلیل اصلی انجام | توضیحات |
|---|---|---|
| ۱۲–۱۴ هفته | بارداری پرخطر / یافتههای مشکوک در سونوگرافی اولیه | ارزیابی مقدماتی، نیازمند دستگاه پیشرفته و اپراتور باتجربه |
| ۱۸–۲۲ هفته | زمان طلایی و توصیهشده برای همه مادران پرخطر | بهترین کیفیت تصویر؛ بررسی کامل ساختمان و عملکرد قلب |
| ۲۸–۳۲ هفته | پیگیری موارد مشکوک یا مادران با بیماری زمینهای | بررسی تکمیلی برای رشد، ریتم قلب و تغییرات احتمالی |

چه کسانی باید اکو قلب جنین انجام دهند؟ (نشانگان و عوامل خطر)
اکو قلب جنین یک آزمایش تخصصی است و معمولاً برای همهی بارداریها توصیه نمیشود. این بررسی زمانی اهمیت بیشتری پیدا میکند که مادر یا جنین در معرض عوامل خطر خاصی قرار داشته باشند. پزشکان بر اساس شرایط بالینی و یافتههای سونوگرافی تصمیم میگیرند که مادر به بهترین مراکز اکو قلب جنین ارجاع داده شود.
برخی از مهمترین شرایطی که نیاز به انجام اکو قلب جنین را توجیه میکنند و فرد باید به بهترین مراکز اکو قلب جنین مراجعه کند، عبارتند از:
- سابقه خانوادگی: اگر در خانواده سابقهی نقصهای مادرزادی قلب وجود داشته باشد، احتمال بروز این مشکلات در جنین بیشتر است.
- یافتههای غیرطبیعی در سونوگرافی آناتومی: هر گونه انحراف در اندازه قلب، عروق یا ریتم میتواند نشانهای برای بررسی دقیقتر باشد.
- اختلالات ژنتیکی یا کروموزومی: در مواردی که آزمایشهای غربالگری احتمال سندرم داون یا سایر اختلالات کروموزومی را نشان میدهند، پزشکان معمولاً اکو را تجویز میکنند.
- بیماریهای زمینهای مادر: دیابت کنترلنشده، بیماریهای خودایمنی (مانند لوپوس) یا مصرف برخی داروهای خاص در دوران بارداری میتواند خطر مشکلات قلبی جنین را افزایش دهد.
- بارداریهای چندقلویی: بهویژه در بارداریهای مونوکوریونیک (دوقلوهای همسان با جفت مشترک) احتمال بروز مشکلات قلبی بیشتر است.
- اختلالات ریتم قلب جنین: در صورتی که پزشک در سونوگرافی متوجه بینظمی ضربان شود، اکو تخصصی ضروری است.
- افزایش ضخامت NT (مایع پشت گردن جنین): این علامت در سونوگرافی غربالگری میتواند با نقایص قلبی مرتبط باشد.
جدول عوامل خطر برای نیاز به اکو قلب جنین
| دستهبندی | عوامل نمونه |
|---|---|
| سابقه خانوادگی | وجود نقص قلبی مادرزادی در والدین یا خواهر/برادر |
| یافتههای سونوگرافی | ناهنجاری ساختاری، افزایش NT، ریتم غیرطبیعی |
| اختلالات ژنتیکی | نتایج غربالگری مشکوک به سندرم داون یا سایر اختلالات |
| بیماریهای مادر | دیابت کنترلنشده، لوپوس، مصرف داروهای تراتوژن |
| بارداری پرخطر | بارداریهای چندقلویی (مونوکوریونیک)، IVF در برخی شرایط |
| ریتم قلب جنین | آریتمی یا ضربان نامنظم در سونوگرافی معمول |

حساسیت و محدودیتهای اکو قلب جنین
اکو قلب جنین یکی از دقیقترین و پیشرفتهترین روشهای بررسی سلامت قلب در دوران بارداری است، اما مانند هر روش پزشکی دیگر محدودیتهای خاص خود را دارد. آگاهی از این محدودیتها به والدین کمک میکند انتظارات واقعبینانهای از نتایج داشته باشند و در صورت نیاز، با مشاوره پزشک تصمیم بگیرند که آزمایش تکرار شود.
حساسیت اکو قلب جنین به عوامل متعددی بستگی دارد:
- هفته بارداری: بهترین زمان انجام اکو معمولاً بین ۱۸ تا ۲۲ هفته است. در این بازه، قلب جنین به اندازه کافی رشد کرده و امکان مشاهدهی دقیقتر فراهم میشود. در سهماهه اول ممکن است برخی نقایص کوچک دیده نشود و پزشک توصیه کند آزمایش در هفتههای بعد تکرار شود. پیشنهاد می کنیم به بهترین مراکز اکو قلب جنین مراجعه کنید.
- کیفیت تجهیزات: دستگاههای پیشرفته با قابلیت Doppler و تصویربرداری سهبعدی دقت تشخیص را بسیار افزایش میدهند. به همین دلیل مراجعه به بهترین مراکز اکو قلب جنین اهمیت زیادی دارد.
- مهارت و تجربه اپراتور یا پزشک: حتی با بهترین دستگاهها، مهارت پزشک در بهدست آوردن نماهای صحیح و تفسیر نتایج نقش تعیینکننده دارد.
- شرایط فردی مادر و جنین: عواملی مانند وضعیت قرارگیری جنین، اضافهوزن مادر یا وجود بافتهای چربی شکمی میتواند کیفیت تصاویر را کاهش دهد.
همچنین باید توجه داشت که برخی از ناهنجاریهای خفیف ممکن است حتی در بهترین شرایط هم در دوران بارداری تشخیص داده نشوند و تنها بعد از تولد مشخص شوند. به همین دلیل بسیاری از پزشکان تأکید میکنند در صورتی که نتیجه اولیه مشکوک یا نامشخص بود، آزمایش در هفتههای مناسب دوباره تکرار شود.
در مجموع، اکو قلب جنین ابزاری بسیار ارزشمند است اما برای رسیدن به بیشترین دقت و اطمینان، انتخاب بهترین مراکز اکو قلب جنین و پزشکان با تجربه یک ضرورت محسوب میشود.
۷ معیار کلیدی برای انتخاب بهترین مراکز اکو قلب جنین
سلامت قلب جنین دغدغه مهم هر والدینی است و انتخاب مرکز مناسب میتواند تفاوت بزرگی در کیفیت تشخیص ایجاد کند. برای اینکه مطمئن شوید اکو قلب جنین با دقت بالا انجام میشود، بهتر است معیارهای مشخصی را مد نظر داشته باشید. در ادامه ۷ معیار کلیدی برای انتخاب بهترین مراکز اکو قلب جنین آورده شده است، با تمرکز ویژه روی مزایای کلینیک چندتخصصی ویستان:
- تخصص و تجربه پزشک:
دقت اکو قلب جنین به مهارت پزشک بستگی دارد. ویستان که یکی از بهترین مراکز اکو قلب جنین است، با تیمی از فوقتخصصهای قلب کودکان و فلوشیپهای کاردیولوژی جنینی، تجربهای بینظیر در تشخیص انواع ناهنجاریهای قلبی دارد و شما را مطمئن میکند که بهترین تصمیمها گرفته شود. - تجهیزات پیشرفته و بهروز:
ویستان از جدیدترین دستگاههای اکو با قابلیت Doppler و تصویربرداری سهبعدی و چهاربعدی استفاده میکند. این تجهیزات تصاویر شفاف و دقیق ارائه میدهند و امکان بررسی کامل ساختار قلب جنین را فراهم میکنند. - گزارشهای قابل فهم و جامع:
برخلاف برخی مراکز دیگر، گزارشهای ویستان با جزئیات کافی و توضیح ساده برای والدین ارائه میشود تا روند تشخیص و تصمیمگیری آسانتر و بدون استرس باشد. - نوبتدهی سریع و زمانبندی دقیق:
در ویستان میتوانید به سرعت نوبت دریافت کنید و مطمئن باشید بررسی در بازه زمانی طلایی (۱۸ تا ۲۲ هفته) انجام میشود، بازهای که بهترین کیفیت تصویر و تشخیص را دارد. - محیط آرام و حمایت عاطفی:
تیم ویستان علاوه بر تخصص، فضای دوستانه و آرام برای مادران فراهم میکند تا مراجعه به مرکز تجربهای دلپذیر و کماسترس باشد. - پیگیری و مشاوره پس از اکو:
اگر مشکلی تشخیص داده شود، ویستان مسیر شفاف و سریع پیگیری را ارائه میدهد و با مشاوره تیم چندتخصصی، برنامه درمان یا مراقبت پس از تولد را مشخص میکند. - اعتبار و رضایت بیماران:
تجربه واقعی بیماران و بازخوردهای مثبت، ویستان را به یکی از بهترین مراکز اکو قلب جنین در ایران تبدیل کرده است. خانوادهها با اطمینان میتوانند به این مرکز مراجعه کنند و بهترین خدمات را دریافت کنند.

فهرست بهترین مراکز اکو قلب جنین
| نام مرکز / کلینیک | مزایا و ویژگیها | توضیحات و نقاط قوت | چرا اسم بردیم؟ |
|---|---|---|---|
| کلینیک چندتخصصی ویستان | تیم فوقتخصصی قلب کودکان و فلوشیپ کاردیولوژی جنینی | جدیدترین دستگاههای Doppler و 3D/4D، گزارش قابل فهم برای والدین، نوبتدهی سریع و پشتیبانی کامل پس از اکو | پیشنهاد اصلی؛ بهترین گزینه برای والدینی که به دنبال بهترین مراکز اکو قلب جنین هستند |
| مرکز قلب جنین امید | تجربه در زمینه اکو قلب جنین | ارائه اکوهای تخصصی و بررسی ساختار قلب، سابقه طولانی در تهران | گزینه جایگزین برای مقایسه |
| مرکز تخصصی دکتر رجبی | تجهیزات استاندارد و تجربه پزشکی | ارائه اکو جنین با کیفیت متوسط، مناسب برای بررسیهای اولیه | معرفی جهت مقایسه |
| مراکز معرفی شده در پورتال دکترتو و پذیرش۲۴ | فهرست پزشکان و کلینیکها | امکان جستجو و انتخاب متخصص، تنوع در قیمت و تجهیزات | برای مقایسه و بررسی سریع قبل از انتخاب |

چرا کلینیک ویستان انتخاب برتر برای اکو قلب جنین است؟
وقتی صحبت از سلامت قلب جنین میشود، انتخاب مرکز مناسب اهمیت حیاتی دارد. بسیاری از والدین به دنبال بهترین مراکز اکو قلب جنین هستند تا مطمئن شوند بررسی با دقت و تجهیزات پیشرفته انجام میشود. کلینیک چندتخصصی ویستان با تجربه و تخصص منحصر به فرد خود، به یکی از گزینههای برتر در ایران تبدیل شده است.
ویژگیهای متمایز ویستان شامل موارد زیر است:
- تیم فوقتخصصی و چندتخصصی:
ویستان با گردهم آوردن پزشکان متخصص در حوزه قلب کودکان، زنان و زایمان و سایر رشتههای مرتبط، امکان بررسی تصاویر اکو را به صورت تیمی و دقیق فراهم میکند. این همکاری چندتخصصی باعث میشود کوچکترین ناهنجاریها شناسایی و بررسی شوند، امری که بسیاری از والدین هنگام جستجو برای بهترین مراکز اکو قلب جنین به آن اهمیت میدهند. - تجهیزات پیشرفته تصویربرداری:
کلینیک ویستان از دستگاههای بهروز با قابلیت Doppler و تصویربرداری سهبعدی و چهاربعدی استفاده میکند تا ساختار قلب و جریان خون جنین با وضوح بالا قابل مشاهده باشد. این سطح تجهیزات، دقت تشخیص را به حداکثر میرساند. - رزرو نوبت آسان و دسترسی سریع:
سیستم نوبتدهی ویستان سریع و انعطافپذیر است، به طوری که مادران میتوانند در بازه زمانی طلایی برای اکو قلب جنین (۱۸ تا ۲۲ هفته) بدون تأخیر نوبت دریافت کنند. - پیگیری و مشاوره کامل پس از اکو:
اگر هرگونه ناهنجاری یا نکته مهم در اکو شناسایی شود، تیم چندتخصصی ویستان مسیر پیگیری و مشاوره دقیق را فراهم میکند تا والدین نگرانی کمتری داشته باشند و برنامه درمانی مشخص شود.
Why it’s done
An echocardiogram is done to look at the heart. The test shows how blood moves through the heart chambers and heart valves. Your healthcare professional may order this test if you have chest pain or shortness of breath.چرا انجام میشود؟ بهترین مراکز اکو قلب جنین
اکوکاردیوگرام برای بررسی قلب انجام میشود. این آزمایش نشان میدهد که خون چگونه در حفرههای قلب و دریچههای آن حرکت میکند. در صورت درد قفسه سینه یا تنگی نفس، پزشک ممکن است این آزمایش را تجویز کند.منبع: www.mayoclinic.org
نکات نهایی برای والدین — آرامش، اطمینان و آمادهسازی عاطفی
دوران بارداری پر از هیجان و انتظار است، اما ممکن است والدین نگرانیهایی درباره سلامت قلب جنین داشته باشند. یکی از مهمترین توصیهها این است که یاد بگیرید چگونه آرامش خود را حفظ کنید و اطلاعات درست را از منابع معتبر دریافت کنید. مراجعه به بهترین مراکز اکو قلب جنین میتواند نقش کلیدی در کاهش استرس و افزایش دقت تشخیص داشته باشد.
- آگاهی و مدیریت یافتهها:
بسیاری از نتایج اکو قلب جنین قابل مدیریت هستند یا نیازمند پیگیری کوتاهمدت و برنامهریزی دقیق میباشند. تشخیص زودهنگام مشکلات قلبی، فرصتهایی برای اقدامات درمانی یا آمادهسازی مناسب پیش از تولد ایجاد میکند و میتواند مسیر مراقبت کودک را تسهیل کند. - مشاوره و طرح عملی:
اگر نتیجهٔ اکو مشکوک یا نامشخص بود، از تیم پزشکی بخواهید یک جلسه مشاوره کامل و روشن برگزار کنند. این جلسه باید شامل توضیح یافتهها، پاسخ به سؤالات والدین و ارائه برنامه عملی برای پیگیری و تصمیمگیری باشد. چنین روندی به والدین اطمینان میدهد که قدمهای بعدی بهطور منطقی و علمی برنامهریزی شدهاند. - تیم چندتخصصی و پیگیری مداوم:
برای بهترین نتایج، دنبال مراکزی باشید که پیگیریها را بهصورت تیمی انجام دهند. حضور کاردیولوژیست اطفال، ماما، ژنتیکدان و بهترین فوقتخصص قلب جنین باعث میشود مسیر درمان، ارجاع به تخصصهای دیگر و برنامهریزی پس از تولد کاملاً شفاف و سازمانیافته باشد. - انتخاب مرکز مطمئن:
مراجعه به کلینیک ویستان بهعنوان یکی از بهترین مراکز اکو قلب جنین، نه تنها دقت تشخیص را تضمین میکند، بلکه والدین را با پشتیبانی کامل، فضای آرام و تجهیزات پیشرفته همراهی میکند. این انتخاب به شما اطمینان میدهد که هر مرحله از بررسی قلب جنین با استاندارد بالا انجام میشود و آرامش ذهنی خانواده حفظ خواهد شد.
نتیجهگیری
سلامت قلب جنین یکی از حیاتیترین دغدغههای والدین است و انتخاب مرکز مناسب میتواند نقش تعیینکنندهای در دقت تشخیص و آرامش خاطر خانواده داشته باشد. انجام اکو قلب جنین، اگر در بهترین مراکز اکو قلب جنین و با تجهیزات پیشرفته و تیم تخصصی انجام شود، امکان شناسایی دقیق ناهنجاریهای قلبی را فراهم میکند و مسیر مراقبتهای بعدی را روشن میسازد.
کلینیک چندتخصصی ویستان با بهرهگیری از فوقتخصصهای قلب کودکان و فلوشیپهای کاردیولوژی جنینی، تیم چندتخصصی، تجهیزات پیشرفته Doppler و تصویربرداری سهبعدی و چهار بعدی، و ارائه گزارشهای شفاف و قابل فهم، گزینهای مطمئن و قابل اعتماد برای والدین است. رزرو سریع نوبت، محیط آرام و حمایت عاطفی تیم پزشکی، تجربه مراجعه را برای مادران کماسترس و دلنشین میکند.
در کنار ویستان، والدین میتوانند مراکز دیگر را نیز بررسی کنند، اما تجربه، تخصص و تجهیزات ویستان باعث میشود این مرکز به عنوان یکی از بهترین مراکز اکو قلب جنین در ایران شناخته شود. انتخاب ویستان، تضمین دقت تشخیص، پشتیبانی کامل و آرامش خاطر والدین را به همراه دارد و مسیر سلامت جنین را به بهترین شکل ممکن هموار میکند.




