آخرین بهروزرسانی در مارس 11, 2026 توسط دکتر لیلا نجم افشار متخصص قلب و عروق – نظام پزشکی 105716
اکوی قلب یکی از مهمترین آزمایشات پزشکی است که به کمک آن پزشکان میتوانند اطلاعات دقیقی در مورد عملکرد قلب و ساختار آن به دست آورند. در این مقاله، به طور کامل به بررسی این موضوع خواهیم پرداخت که اکوی قلب چیست و چه زمانی انجام آن ضروری است؟ و چرا این آزمایش برای ارزیابی سلامت قلب اهمیت دارد؟ همچنین به سوالات متداول در این زمینه پاسخ خواهیم داد.

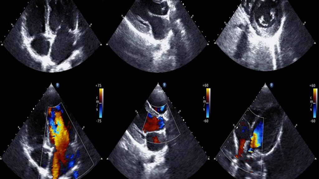
An echocardiogram uses sound waves to create pictures of the heart. This common test can show blood flow through the heart and heart valves. Your healthcare professional can use the pictures from the test to find heart disease and other heart conditions.
در اکوی قلب یا اکوکاردیوگرام از امواج صوتی برای ایجاد تصاویری از قلب استفاده میشود. این آزمایش رایج میتواند جریان خون از طریق قلب و دریچههای قلب را نشان دهد. پزشک شما میتواند از تصاویر بهدستآمده از این آزمایش برای شناسایی بیماریهای قلبی و مشکلات دیگر قلبی استفاده کند.
به نقل از سایت http://www.mayoclinic.org
فهرست مطالب
- 1 اکوی قلب چیست؟
- 2 انواع اکوی قلب چیست
- 3 چرا اکوی قلب انجام میشود؟
- 4 چه زمانی اکوی قلب لازم است؟
- 5 چگونه اکوی قلب انجام میشود؟
- 6 نحوه آمادگی برای انجام اکو استرس قلب
- 7 مزایا و معایب اکوی قلب چیست
- 8 تفاوت بین نوار قلب و اکوی قلب چیست؟
- 9 گزارش اکوی قلب چیست و چه اطلاعاتی را نشان میدهد؟
- 10 موارد دیگر در گزارش اکوی قلب چست
- 11 آیا اکو قلب میتواند نارسایی قلبی را تشخیص دهد؟
- 12 اگر نتایج اکو قلب غیرطبیعی باشد چه میشود؟
- 13 اکو قلب از راه مری (TEE)
- 14 اکو قلب جنین
- 15 هزینه اکوی قلب در مراکز دولتی و خصوصی
- 16 هزینه اکوی قلب با بیمه تکمیلی
- 17 سوالات متداول در مورد اکوی قلب
اکوی قلب چیست؟
اکوی قلب یا اکوکاردیوگرافی (Echocardiography) یک آزمایش تصویربرداری است که به کمک امواج صوتی برای ارزیابی عملکرد قلب و بررسی ساختار آن به کار میرود. در این آزمایش، امواج صوتی با فرکانس بالا به قلب ارسال میشوند و بازتاب آنها به دستگاه اکو برگشت داده میشود تا تصویری از ساختار قلب ایجاد کند. این تصویربرداری میتواند اطلاعات مفیدی در مورد اندازه قلب، وضعیت دریچهها، ضخامت دیوارههای قلب، جریان خون و هر نوع اختلالی که ممکن است در قلب وجود داشته باشد، به پزشک ارائه دهد.
انواع اکوی قلب چیست
اکوی قلب میتواند به روشهای مختلفی انجام شود که عبارتند از:
- اکو کارتیکوگرافی ترانس توراسیک (TTE) : در این نوع اکو، پروب دستگاه به قفسه سینه نزدیک میشود و امواج صوتی را به قلب میفرستد. این روش غیر تهاجمی است و بیشتر در معاینات معمولی استفاده میشود.
- اکو کارتیکوگرافی ترانس ازوفاژال : (TEE) در این روش، پروب از طریق دهان و مری به نزدیک قلب وارد میشود. این روش معمولا زمانی انجام میشود که اطلاعات دقیقتری نیاز است یا تصاویر واضحتری باید بدست آید.
- اکو کاردیوگرافی استرس (Stress Echo) : در این نوع اکو، قلب تحت فشار ناشی از فعالیت بدنی یا دارو قرار میگیرد تا نحوه عملکرد آن در شرایط استرس مورد بررسی قرار گیرد.
- اکو کاردیوگرافی داپلر: این نوع اکو برای بررسی جریان خون در قلب و عروق خونی استفاده میشود و میتواند مشکلاتی مانند نارسایی دریچهها یا انسداد عروق را شناسایی کند.

چرا اکوی قلب انجام میشود؟
اکوی قلب به عنوان یکی از روشهای تصویربرداری غیر تهاجمی در پزشکی بسیار مفید است. این آزمایش میتواند برای تشخیص بسیاری از مشکلات قلبی مورد استفاده قرار گیرد، از جمله:
- بررسی عملکرد دریچههای قلب: یکی از مهمترین کاربردهای اکوی قلب، ارزیابی وضعیت دریچههای قلب است. این آزمایش میتواند به شناسایی مشکلاتی مانند تنگی یا نارسایی دریچهها کمک کند.
- تشخیص بیماریهای عضله قلب: اگر عضله قلب ضعیف شود یا ضخیم گردد، اکوی قلب میتواند اطلاعات دقیقی در این زمینه به پزشک بدهد.
- اندازهگیری اندازه قلب و بطنها: تغییرات در اندازه قلب میتواند نشاندهنده مشکلاتی مانند نارسایی قلبی باشد. اکوی قلب میتواند این تغییرات را شناسایی کند.
- بررسی جریان خون: اکوی قلب میتواند مشکلاتی مانند انسداد عروق و اختلالات در جریان خون را تشخیص دهد.
- شناسایی لختههای خون یا آسیبهای قلبی: این آزمایش میتواند وجود لختههای خون یا آسیبهای دیگر در قلب را مشخص کند.
چه زمانی اکوی قلب لازم است؟
اکوی قلب در شرایط مختلفی ممکن است برای تشخیص یا پیگیری بیماریهای قلبی توصیه شود. این شرایط عبارتند از:
- نشانههای بیماری قلبی: اگر بیمار علائمی مانند درد قفسه سینه، تنگی نفس، ضربان قلب نامنظم یا تورم پاها را تجربه کند، پزشک ممکن است انجام اکوی قلب را پیشنهاد کند.
- بیماریهای قلبی شناخته شده: اگر فرد قبلا مبتلا به بیماریهای قلبی مانند بیماری شریان کرونری، نارسایی قلبی یا مشکلات دریچهای باشد، اکوی قلب برای ارزیابی وضعیت قلب و کنترل بیماری انجام میشود.
- معاینات دورهای: برای افرادی که سابقه خانوادگی بیماریهای قلبی دارند یا به نوعی در معرض خطر مشکلات قلبی هستند، ممکن است اکوی قلب به صورت دورهای انجام شود تا وضعیت قلب نظارت شود.
- پس از جراحی قلب: بعد از انجام جراحی قلب، اکوی قلب میتواند برای ارزیابی نتایج و بررسی عوارض احتمالی مورد استفاده قرار گیرد.
- بررسی مشکلات فشار خون بالا: افراد مبتلا به فشار خون بالا نیز ممکن است برای بررسی تأثیر فشار خون بالا بر قلب خود به اکوی قلب نیاز داشته باشند.
چگونه اکوی قلب انجام میشود؟
اکوی قلب یک آزمایش ساده و بدون درد است که معمولا در مطب پزشک یا بیمارستان انجام میشود. مراحل انجام اکوی قلب عبارتند از:
- آمادهسازی: بیمار باید لباسهای خود را در بیاورد و روی تخت دراز بکشد. در طول آزمایش، یک ژل مخصوص روی پوست ناحیه قفسه سینه قرار داده میشود تا امواج صوتی به درستی منتقل شوند.
- استفاده از پروب: پروب دستگاه که شبیه به یک دستگاه دستی است، بر روی پوست قفسه سینه قرار میگیرد. این پروب امواج صوتی را به قلب ارسال میکند و بازتاب آنها را دریافت میکند.
- تصویربرداری: تصاویر ایجاد شده بر روی مانیتور نمایش داده میشود و پزشک آنها را بررسی میکند.
- پایان آزمایش: این آزمایش معمولا کمتر از یک ساعت طول میکشد و بیمار پس از آن میتواند به راحتی به فعالیتهای روزمره خود ادامه دهد.

نحوه آمادگی برای انجام اکو استرس قلب
برای آمادگی به اکو استرس قلب، توجه به دستورالعملها بسیار مهم است. در این رابطه چند نکته وجود دارد که باید رعایت کنید:
- نوشیدن آب: اجازه دارید آب بنوشید، اما از نوشیدنیهای دیگر یا غذا خودداری کنید.
- مراقب داروها باشید: مصرف داروهای قلبی به خصوص مسدودکنندههای بتا و نیتروگلیسیرین ممکن است تاثیری روی نتایج آزمایش داشته باشد، بنابراین در صورت لزوم فقط تحت نظر پزشک دارو مصرف کنید.
- دیابت: در مورد دیابت، بسیار مهم است که با پزشک خود در خصوص میزان مصرف داروها و زمان مصرف آنها مشورت کنید. همچنین باید از کنترل سطح قند خون خود در طول آزمایش اطمینان حاصل کنید.
- فعالیت فیزیکی: برای آزمایش اکو استرس، معمولا از شما خواسته میشود که فعالیت فیزیکی انجام دهید، مانند دویدن یا دوچرخهسواری بر روی تردمیل. این فعالیتها باعث میشوند که قلب شما تحت فشار قرار گیرد و وضعیت آن در شرایط استرسزا ارزیابی شود.
- لباس راحت: بهتر است لباسهای راحت بپوشید تا بتوانید به راحتی در حین آزمایش حرکت کنید.
در نهایت اگر سوالی درباره فرایند دارید یا نگران چیزی هستید، بهتر است از پزشک یا پرسنل آزمایشگاه خود کمک بگیرید.
مزایا و معایب اکوی قلب چیست
در زیر مزایا و معایب اکو قلب به صورت جداگانه بررسی شده است:
مزایای اکوی قلب چیست:
- غیر تهاجمی و بیخطر: اکوی قلب هیچگونه برش یا تزریق ندارد و به همین دلیل یک روش ایمن و بدون درد است.
- دقت بالا: اکوی قلب میتواند اطلاعات دقیقی درباره ساختار و عملکرد قلب بدهد.
- عدم استفاده از اشعه: برخلاف روشهایی مانند رادیولوژی یا سیتیاسکن، اکوی قلب از اشعه استفاده نمیکند و برای بیماران بیخطر است.
معایب اکوی قلب چیست:
- نیاز به تکنسین ماهر: نتایج اکوی قلب بستگی زیادی به تجربه و دقت تکنسین دارد.
- تصاویر ممکن است محدود باشند: در برخی موارد، به ویژه در افرادی با قفسه سینه چاق یا مشکلات خاص، تصاویر ممکن است به وضوح دیده نشوند و نیاز به استفاده از روشهای دیگر باشد.
تفاوت بین نوار قلب و اکوی قلب چیست؟
فرق اصلی بین اکو قلب و نوار قلب در نوع اطلاعاتی است که هرکدام ارائه میدهند:
- نوار قلب (ECG) : این آزمایش فعالیت الکتریکی قلب را ثبت میکند. نوار قلب تغییرات الکتریکی در عضلهی قلب را اندازهگیری کرده و به پزشک کمک میکند تا مشکلاتی مانند آریتمیها (اختلالات ضربان قلب) یا مشکلات مربوط به رسانش الکتریکی قلب را تشخیص دهد.
- اکوکاردیوگرام (اکو قلب): در این آزمایش از امواج صوتی (اولتراسوند) برای ایجاد تصاویری از ساختار قلب و حرکت جریان خون در آن استفاده میشود. اکو قادر است وضعیت ماهیچههای قلب، دریچهها، اندازه و عملکرد قلب را بررسی کند و اطلاعات دقیقی از نحوهی جریان خون در قلب و رگهای خونی اصلی (مثل شریانهای بزرگ) به دست دهد.
در مجموع، نوار قلب بیشتر روی فعالیت الکتریکی و ریتم قلب تمرکز دارد، در حالی که اکو قلب ساختار و عملکرد فیزیکی قلب را بررسی میکند. هر دوی این آزمایشها برای تشخیص مشکلات قلبی مهم هستند اما از نظر نوع اطلاعات متفاوتاند.
گزارش اکوی قلب چیست و چه اطلاعاتی را نشان میدهد؟
گزارش اکوکاردیوگرام معمولا اطلاعاتی جامع در مورد وضعیت قلب و عملکرد آن ارائه میدهد. این اطلاعات میتوانند شامل موارد زیر باشند:
- دلیل انجام آزمایش: بر اساس توصیه پزشک، علت یا دلایل انجام اکو مشخص میشود.
- اندازه حفرههای قلب و ضخامت ماهیچههای قلب: اندازه و وضعیت قلب و دیوارههای آن بررسی میشود.
- عملکرد بطن چپ و راست: نحوه عملکرد حفرههای پمپاژ (بطنها) که خون را به بدن و ریهها میپمپند، ارزیابی میشود.
- عملکرد و وضعیت دریچههای قلب: توصیف شکل، حرکت و کارکرد دریچههای قلب برای تشخیص نارسایی یا استنوزیس.
- بررسی ساختارهای دیگر قلب: این شامل عروق خونی اصلی، پریکاردیوم و هرگونه ناهنجاری مانند لخته شدن خون یا سایر مشکلات است.

موارد دیگر در گزارش اکوی قلب چست
- اندازه و وضعیت عروق خونی اصلی مانند آئورت و شریان ریوی.
- فشار سیستولیک بطن راست (RVSP) و تخمین فشار شریان ریوی.
- افیوژن پریکارد (مایع در اطراف قلب) یا پلورال افیوژن (مایع در اطراف ریهها).
- نقایص مادرزادی قلب یا لخته شدن خون و تودههای غیرطبیعی.
آیا اکوکاردیوگرام میتواند حمله قلبی را تشخیص دهد؟
اگر آسیب عضله قلب وسیع باشد، ممکن است در اکو نشان داده شود. اما حملات قلبی خفیفتر ممکن است در اکوکاردیوگرام قابل شناسایی نباشند.
آیا اکو قلب میتواند نارسایی قلبی را تشخیص دهد؟
اکو قادر است انواع مختلف نارسایی قلبی را شناسایی کند، از جمله نارسایی سمت چپ و راست قلب. نارسایی سمت چپ معمولا به دلیل مشکلات در پمپاژ خون توسط بطن چپ است، در حالی که نارسایی سمت راست معمولا به دلیل مشکلات در پمپاژ خون به ریهها میباشد.
اگر نتایج اکو قلب غیرطبیعی باشد چه میشود؟
در بسیاری از موارد، ناهنجاریهای خفیف در نتایج اکو میتواند تاثیر زیادی بر سلامتی نداشته باشد. پزشک ممکن است تصمیم بگیرد که با تکرار آزمایش یا ارزیابی بیشتر وضعیت قلب شما را پیگیری کند. مهم است که با متخصص قلب و عروق مشورت کنید تا نتایج دقیق را درک کرده و در صورت لزوم، مراحل بعدی درمان یا آزمایش را دنبال کنید.
اکو قلب از راه مری (TEE)
اگر اکو قلب استاندارد نتایج کافی را برای پزشک فراهم نکند، پزشک ممکن است اکو قلب از راه مری (TEE) را توصیه کند. این روش تصویری دقیقتر از قلب و شریان اصلی بدن، یعنی آئورت، ارائه میدهد.
در این روش، پزشک یک ترانسدیوسر (مبدل امواج صوتی) کوچک را از طریق یک لوله باریک به نام آندوسکوپ وارد دهان و سپس مری میکند. ترانسدیوسر امواج صوتی تولید میکند که پس از برخورد با بخشهای مختلف قلب، پژواکهایی تولید میکنند. این پژواکها به رایانه منتقل میشوند تا تصاویری دقیق از قلب تولید کنند. این تصاویر جزئیات ساختار و عملکرد قلب را نشان میدهند.
لازم به ذکر است که اگر بیمار دچار خونریزی دستگاه گوارش فوقانی یا پارگی و تومور در مری باشد، این نوع اکو نباید انجام شود.
چه زمانی پزشک دستور اکو قلب از راه مری را میدهد؟ پزشک ممکن است در موارد زیر این روش را تجویز کند:
- زمانی که اکو قلب معمولی قادر به ارائه جزئیات کافی نباشد.
- برای بررسی دقیقتر وضعیت آئورت و قلب در موارد خاص.
اکو قلب جنین
اکو قلب جنین در دوران بارداری برای ارزیابی سلامت قلب جنین انجام میشود. این آزمایش غیرتهاجمی است و از طریق حرکت دادن پروب سونوگرافی روی شکم مادر انجام میشود، به طوری که پزشک قادر به مشاهده قلب جنین بدون نیاز به جراحی یا رادیوگرافی خواهد بود.
اکو قلب جنین معمولا در سهماهه دوم بارداری، بین هفتههای هجدهم تا بیست و چهارم انجام میشود. همه زنان باردار به این آزمایش نیاز ندارند، چرا که در بیشتر موارد، سونوگرافی معمولی قادر است رشد و شکلگیری حفرههای قلب جنین را نشان دهد.
هزینه اکوی قلب در مراکز دولتی و خصوصی
جدول زیر هزینه اکو قلب را در مراکز دولتی و کلینیکهای خصوصی به تفکیک بیمه و آزاد نشان میدهد:
| نوع اکو قلب | هزینه با بیمه (مراکز خصوصی) | هزینه با بیمه (مراکز دولتی) | هزینه آزاد | توضیحات |
|---|---|---|---|---|
| اکو قلب ترانس توراسیک | ۲۰۰ تا ۵۰۰ هزار تومان | تا ۱۰۰ هزار تومان کاهش | ۴۰۰ هزار تا ۲ میلیون تومان | رایجترین نوع اکو برای بررسی عملکرد عمومی قلب است. |
| اکو قلب از راه مری | ۸۰۰ هزار تا ۱.۵ میلیون تومان | – | ۱ تا ۳ میلیون تومان | برای بررسی دقیقتر، از امواج اولتراسوند از طریق مری استفاده میشود. |
| اکو استرس | ۱ تا ۳ میلیون تومان | ۶۰۰ هزار تا ۱ میلیون تومان | ۲ تا ۵ میلیون تومان | برای ارزیابی عملکرد قلب تحت شرایط استرس یا فعالیت استفاده میشود. |
هزینه اکوی قلب با بیمه تکمیلی
هزینه اکو قلب با بیمه تکمیلی میتواند به طور چشمگیری هزینهها را کاهش دهد و برای بسیاری از بیماران این گزینه به صرفهتر باشد. در اینجا، بهطور کلی هزینهها با بیمه تکمیلی برای انواع مختلف اکو قلب آمده است:
- اکو قلب ترانس توراسیک: در مراکز خصوصی با بیمه تکمیلی، هزینه این نوع اکو معمولاً بین ۲۰۰ تا ۵۰۰ هزار تومان است، در حالی که هزینه آزاد آن ممکن است تا ۲ میلیون تومان برسد. بیمه تکمیلی میتواند ۵۰ تا ۸۰ درصد از مبلغ را پوشش دهد.
- اکو قلب از راه مری: این آزمایش در حالت آزاد هزینهای بین ۱ تا ۳ میلیون تومان دارد، اما با بیمه تکمیلی، هزینه در مراکز خصوصی به حدود ۸۰۰ هزار تا ۱.۵ میلیون تومان کاهش مییابد.
- اکو استرس: هزینه آزاد این آزمایش بین ۲ تا ۵ میلیون تومان است، در حالی که با بیمه تکمیلی، میتوان هزینه آن را به ۱ تا ۳ میلیون تومان در مراکز خصوصی و حتی کمتر در مراکز دولتی کاهش داد.
میزان پوشش بیمه تکمیلی به نوع قرارداد بیمه و سقف تعهدات آن بستگی دارد، بنابراین مهم است که قبل از انجام آزمایش، با مرکز درمانی و شرکت بیمه خود مشورت کنید و شرایط دقیق بیمهای خود را بررسی کنید. اینطور میتوانید از تخفیفها و پوششهای ویژه بهرهمند شوید و از هزینههای بالا جلوگیری کنید.
جمع بندی
اگر نمیدانید اکوی قلب چیست باید به شما بگوییم که اکوی قلب یک ابزار تصویربرداری غیر تهاجمی و موثر است. اکو قلب به پزشکان کمک میکند تا سلامت قلب را ارزیابی کنند و مشکلات مختلف قلبی را شناسایی کنند. این آزمایش در شرایط مختلف پزشکی میتواند اطلاعات حیاتی ارائه دهد و برای بسیاری از افراد یک روش ضروری برای نظارت بر وضعیت قلبشان باشد.
چکیده
اکوی قلب چیست یکی از سوالات رایج در زمینه سلامت قلب است. اکوی قلب یا اکوکاردیوگرافی یکی از آزمایشات تصویربرداری غیر تهاجمی است که به کمک امواج صوتی برای بررسی ساختار و عملکرد قلب انجام میشود. این آزمایش میتواند اطلاعات دقیقی در مورد اندازه قلب، وضعیت دریچهها، ضخامت دیوارهها، جریان خون و مشکلات مختلف قلبی مانند بیماریهای عضله قلب، نارسایی دریچهها و انسداد عروق ارائه دهد.
اکوی قلب به روشهای مختلفی مانند اکوی ترانس توراسیک، ترانس ازوفاژال، استرس اکو و داپلر اکو انجام میشود. انجام این آزمایش زمانی ضروری است که فرد علائمی مانند درد قفسه سینه، تنگی نفس یا ضربان نامنظم قلب و … داشته باشد.
مزایای اکوی قلب شامل عدم استفاده از اشعه، دقت بالا و غیر تهاجمی بودن آن است، در حالی که معایب آن میتواند شامل محدودیت در مشاهده تصاویر در برخی بیماران باشد. این مقاله به بررسی کامل این آزمایش، زمانهای نیاز به انجام آن و اهمیت آن در تشخیص مشکلات قلبی پرداخته است.
سوالات متداول در مورد اکوی قلب
1.آیا اکوی قلب دردناک است؟
نه، اکوی قلب هیچگونه دردی ندارد. در طول آزمایش، ممکن است احساس سردی از ژل روی پوست خود داشته باشید، اما هیچگونه درد یا ناراحتی دیگر احساس نخواهید کرد.
2.آیا اکوی قلب نیاز به آمادگی خاصی دارد؟
برای انجام اکوی قلب نیازی به آمادگی خاصی نیست. تنها ممکن است از شما خواسته شود تا لباسهای خود را تعویض کنید و برای مدت کوتاهی دراز بکشید.
3.آیا اکوی قلب برای تمام افراد مناسب است؟
اکوی قلب برای بیشتر افراد ایمن و مفید است. اما در برخی شرایط خاص مانند اختلالات بلع یا مشکلات مری، ممکن است استفاده از روشهای دیگر تصویربرداری پیشنهاد شود.
4.نتیجه اکوی قلب چه زمانی آماده میشود؟
نتایج اولیه اکوی قلب بهطور معمول بلافاصله بعد از آزمایش در دسترس پزشک قرار میگیرد. پزشک پس از بررسی تصاویر، نتایج را با شما در میان خواهد گذاشت.
5.آیا انجام اکوی قلب برای کودکان نیز امکانپذیر است؟
بله، اکوی قلب برای کودکان نیز قابل انجام است. این آزمایش برای بررسی مشکلات قلبی در کودکان بسیار مفید است.




